基本信息
品系名称 | KPA肝癌系列小鼠 |
常用名 | LSL-KrasG12D/+;LSL-Trp53R172H/+;Alb-Cre小鼠;LSL-KrasG12D/+;Pten flox ;Alb-Cre小鼠; LSL-KrasG12D/+;LSL-Trp53R172H/+;Alb-Cre ERT2小鼠; LSL-KrasG12D/+;Pten flox ;Alb-CreERT2小鼠 |
来源 | 北京维通达生物技术有限公司 |
背景 | 混合背景(B6;129) |
毛色 | 黑色 |
品系建立
将pcDNA3.1-Alb- Cre和Alb- Cre ERT2线性化片段分别注入C57BL/6NCrl小鼠胚胎原核,获得转基因阳性小鼠。与Rosa26 报告小鼠交配后,选择肝脏区域有特异荧光的小鼠作为首建鼠,获得Alb- Cre和Alb- Cre ERT2在小鼠肝脏正确表达的小鼠。
(1)将Alb-Cre小鼠,与LSL-KrasG12D/+和LSL-Trp53R172H/+小鼠交配,获得LSL-KrasG12D/+;LSL-Trp53R172H/+;Alb-Cre小鼠;
(2)将Alb-Cre小鼠,与LSL-KrasG12D/+和Pten flox小鼠交配,获得LSL-KrasG12D/+;Pten flox;Alb-Cre小鼠。
(3)将Alb-CreERT2小鼠,与LSL-KrasG12D/+和LSL-Trp53R172H/+小鼠交配,获得LSL-KrasG12D/+;LSL-Trp53R172H/+;Alb-CreERT2小鼠。
(4)将Alb-CreERT2小鼠,与LSL-KrasG12D/+和Pten flox小鼠交配,获得LSL-KrasG12D/+;Pten flox;Alb-CreERT2小鼠。
通过肝脏特异性Kras突变和Pten缺失可以建立肝内胆管癌 (Intrahepatic cholangiocarcinoma,ICC) 小鼠模型,KPA小鼠( LSL-KrasG12D/+; Ptenflox/flox mice;Alb-Cre +)。在诱导型小鼠中(Alb-CreERT2+; LSL-KrasG12D/+; Ptenflox/flox mice),通过连续6天他莫昔芬诱导,即小鼠成熟的肝细胞发生Kras激活突变和Pten缺失,Kras激活与杂合子Pten缺失可以诱导HCC,而不是ICC[1]。
表型信息
1. 肝组织照片

图1. KPA小鼠肝癌的肝组织照片,肝脏表面可见多发实体瘤
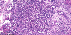
2. 肝组织HE染色分析

4×镜头 10×镜头
图2. 肝组织HE染色分析
结果显示:在这些小鼠中观察到肝脏浸润性肿瘤明显可见,多发,伴有大量的间质增生,或称“间质增生(desmoplasia)”。肿瘤主要表现为腺状形态,类似于人的肝内胆管癌。
参考文献
1. Ikenoue T, Terakado Y, Nakagawa H, et al. A novel mouse model of intrahepatic cholangiocarcinoma induced by liver-specific Kras activation and Pten deletion. Sci Rep. 2016, 6:23899.